KAGAIロゴ

KAGAI DENTAL OFFICE

  • トップTOP
  • 受診をお考えの方YOUR_VISIT
  • 診療案内SERVICE
    • 一般歯科
    • 小児歯科
    • 審美歯科
    • インプラント治療
    • 保険外の補綴治療
    • マタニティ歯科
  • 医院案内OFFICE
  • 診療時間OPEN

    診療時間

    当医院は予約制ですが、急患の方などは随時受付けをしていますのでご相談ください。

    時間 月 火 水 木 金 土 日
    9:00 〜 12:00 ○ ○ ○ ー ○ ○ ー
    14:00 〜 18:30 ○ ○ ○ ー ○ ○ ー

    木・日・祝日は休診です。
    ※祝日のある週は、木曜診療いたします。

  • アクセスACCESS
  • 0749-68-0767PHONE
  • トップ
  • 受診をお考えの方
  • 診療案内
    • 一般歯科
    • 小児歯科
    • 審美歯科
    • インプラント治療
    • 保険外の補綴治療
    • マタニティ歯科
  • 医院案内

一般歯科

予防・クリーニング

むし歯治療

歯の根の治療

歯周病治療

補綴(ブリッジ・入れ歯)

親知らず

予防・クリーニング

  • みがき残しがあるか気になる
  • 歯みがきのコツを知りたい
  • ブラッシングが維持されているか気になる

虫歯や歯周病は、病気になってから治療するのではなく、病気になる前に予防することが重要です。毎日丁寧なブラッシング(歯磨き)、定期検診やクリーニングなどで、歯の健康を保ちましょう。定期検診では、歯科医師や衛生士がTBI(Tooth Brushing Instruction)やPMTC(Professional Mechanical Tooth Cleaninng)などを行っています。むし歯や歯周病の初期症状を見逃さないように、お口の中をすみずみまでチェックします。

TBI

ブラッシング(歯みがき)指導のことを指しています。磨き残しになりやすい場所は一人一人違いがあり、歯並びや使用する歯ブラシの違い、利き手などによっても違います。患者様のお口の特徴を交えて、ブラッシング指導だけでなく、ご自身のうまく磨けていない場所を把握して頂くことも行います。

TBI

PMTC

歯科医師や衛生士が歯の表面を器具によって磨き上げる処置を指します。歯の表面に付着した着色汚れやバイオフィルム(細菌の層である透明な膜)を除去し、汚れがつきにくい状態に仕上げます。それにより、虫歯予防に効果が見込まれます。

むし歯治療

  • 歯が痛い歯が痛い
  • 冷たいものや甘いものなどしみる
  • 詰め物が取れた

むし歯は、細菌がエナメル質に付着し歯を溶かし穴をあけてしまう病気です。例えば歯が痛い、黒くなっている、食べ物がつまるなどの症状があるときは、 むし歯治療の必要なサインと考えられます。むし歯の進行程度により樹脂(プラスチック)の、詰め物(インレー)、被せ物(クラウン)などで治療を行います。

歯の根の治療

  • 歯がズキズキと痛む
  • むし歯に接する振動が痛くその歯茎が腫れている
  • できるだけ歯を残したい

むし歯が進行すると、歯の中にある神経へと感染が広がり炎症を起こし強い痛みがでます。ここまで進行したむし歯は、歯の中にある感染した神経を取り除き消毒を行い薬剤を詰め密閉します。なるべく無菌状態に近づけ、神経にかわる物(お薬)を詰める処置を行います。また複雑な解剖学的根管形態の場合、根管形態の確認のためCT(3次元エックス線断層写真)を撮影することがあり、その結果を用い能動型機器を併用することもあります。

歯周病治療

  • 歯ぐきが腫れている
  • 歯がグラグラしている
  • 口臭がきになってきた

歯周病は、歯や歯ぐきそして歯を支える骨などの歯周組織が、細菌により徐々に炎症を起こす病気です。進行すると歯を支えている顎の骨が溶けて歯が抜け落ちてしまう事もあります。 クリーニングや歯石除去により歯周病の原因となる歯垢(プラーク)取り除き、炎症を抑えることで、歯の寿命を延ばす事や症状の改善をめざします。

補綴(ブリッジ・入れ歯)

  • 入れ歯が合わない
  • 入れ歯を作りたい
  • 入れ歯を調整してほしい

歯を失ったままにしていたり、合わない入れ歯をそのまま使っていたりすると、かみ合わせのバランスが悪くなり、健康な歯にも影響が出る恐れがあります。部分的に歯を失った場合、残っている歯を支台歯(バネのかかる歯)にする部分入れ歯、全ての歯を失った場合にする総入れ歯、どちらも患者様のご要望をしっかりおうかがいし、お口に合う入れ歯をデザインご提案します。また、製作後の調整も細やかに対応しておりますので、お気軽にご相談ください。他院で製作した入れ歯に関するご相談も承ります。

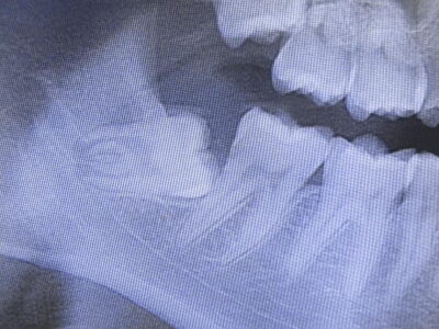
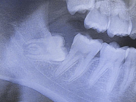
親知らず

親知らずをお持ちの方は、10代後半から30歳くらいまでに症状が現れることが多く個人差があります。顎(あご)の骨の中に完全に埋まっていたり、半分埋まっていたり、斜めに生えていたりと色々です。症状としては、顎が痛くなったり歯茎が腫れたり、食べ物がつまったりします。腫れや痛みを繰り返すものは、周囲に炎症が広がっている可能性が考えられ、ばい菌の侵入や虫歯が進行している可能性があり、それらを含めお困りの際は、速やかに当医院に相談して頂ければと思います。また当医院では、親知らずの抜歯を行うにあたり、歯の形や顎の中の神経などの位置関係を知るために2次元的なレントゲン写真だけでは難しい場合、CT撮影行い3次元的な画像にて安全評価を行いリスクの低減・回避を行う事があります。ただし状態によっては、大きな病院を紹介させて頂き、そちらで抜歯をして頂く場合もあります。
(※ 親知らずがほかの歯と同じ様に生え症状がない方、他の部位に移植・再植予定のある方などは、抜歯を行わないこともあります。)

診療時間

当医院は予約制ですが、急患の方などは随時受付けをしていますのでご相談ください。

時間 月 火 水 木 金 土 日
9:00 〜 12:00 ○ ○ ○ ー ○ ○ ー
14:00 〜 18:30 ○ ○ ○ ー ○ ○ ー

木・日・祝日は休診です。
※祝日のある週は、木曜診療いたします。

アクセス お電話
© kagai dental office