診療時間
当医院は予約制ですが、急患の方などは随時受付けをしていますのでご相談ください。
木・日・祝日は休診です。※祝日のある週は、木曜診療いたします。
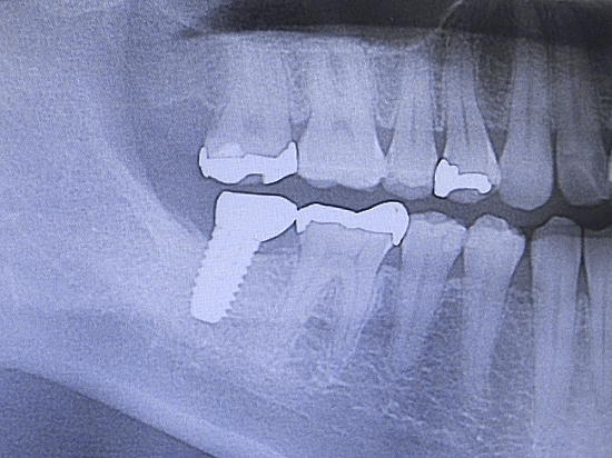
むし歯や歯周病などの病気や、事故で歯を失った患者様、先天的に歯が足りない方へお勧めしたいのが、インプラント(デンタルインプラント)治療。 インプラントとは、体内に埋め込む医療機器などの人工物や技術。例えば歯を1本失ってしまった場合、欠損部の両側の歯を削り、それを支えにして人工歯を被せる「ブリッジ」という治療が一般的です。ブリッジは支えとなる両側の健康な歯を傷つけてしまいます。そこで歯科治療の選択肢の一つとして、周囲の歯に影響の少ないインプラント治療をおすすめする場合があります。インプラントは、チタン製の人工歯根(フィクスチャー)を顎の骨に埋め込み、その上に土台(アバットメント)と人工の歯(上部構造)を合わせたものです。